検査と診断

矯正治療に必要な検査と診断について(重要)

矯正治療を行う際に重要なことは、必ずしっかりした検査を行うことです。現在の個々の患者様の歯や骨格の位置のズレを客観的に調べ、正常に近づけるためにはどこをどのように治療するか、かつ成長による変化を予測することで、より安全で的確な治療方針を決定し、治療計画に基づいた、正しい治療を進めることができます。

そのため、より慎重に治療方針を決定するために当院では必ず検査を行い、時間を取ってそれを詳しく説明の上、同意の下に治療を進めていきます。精密な検査を行いますので、検査の際にたとえば歯周病など他の疾患が判明することもあり、その場合には、他疾患の治療を他院で行っていただくために必要な資料として当院の検査データをお渡しします。

歯を動かす動的な治療が終了した後も、初診時と同じ検査を行い、治療の変化を調べて、患者様に必ず説明いたします。ちなみに当院の院長は2016年6月現在で矯正臨床30年以上 (大学矯正歯科講座勤務6年、専門開業24年以上) の経験を有し、開業以降の実際の症例患者数は3,500名以上に上ります。

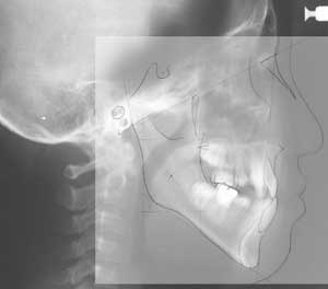
頭部X線規格写真(セファログラム)

頭部X線規格写真(セファログラム)

X線の光源と被写体(人物)およびフィルム面までの距離が一定の条件の下に規格されており、同じ条件で客観的に本人と正常者との比較あるいは本人の経時的変化 (成長変化や治療による位置の変化)を比較することができます。

トレースの施行

トレースの施行

レントゲンフィルムを正確にトレースします。

トレース図

トレース図

この図には計測ポイントが定められており、距離や角度を計測するのに用いられます。それらの計測項目は性別や年齢に応じてあらかじめ正常値と正常範囲が判っているので、それらと比較することで、患者様の骨格や歯の位置や方向が、正常に対してどんな相違があるかを知ることができます。 具体的にはコンピュータを用いて専用のソフトで線形角度分析を行い正常値との比較を行い、以下のポリゴン表とプロフィログラムを作成します。当院では市販のソフトではなく、大学勤務時代に独自に開発した分析ソフトを用いています。

ポリゴン表(計測されたデータ)

ポリゴン表(計測されたデータ)

いろいろな部位の大きさや角度が計算され、正常範囲との比較検討を行います。それによって個々の患者の問題点がわかり、それを解決するためのより良い治療計画を立てることができます。正常からかけ離れた値を示す骨格や歯牙の位置を、いかに正常に近づけるか考えることで、治療方針を決定していきます。

プロフィログラム

プロフィログラム

骨格的なプロフィールを描出した図です。正常範囲のものと重ね合わせることで各個人の特性(ずれている部位)を視覚的に知ることができます。

歯牙計測

歯牙計測

検査時に作成した患者様の歯列模型を分析します。上下左右の歯牙の幅径が正常な大きさなのか、また上下歯列の歯の大きさのバランスは取れているのか、また上下左右の歯列でガタガタの程度はどのくらいなのかを、数値化して検討します。

歯列弓の長径と幅径の計測

歯列弓の長径と幅径の計測

検査時に作成した患者様の歯列模型を分析し、上下それぞれの歯並びの大きさを計測します。

歯列弓の長径と幅径の計測

歯列弓の長径と幅径の計測

ここでは学童期以降の身長と体重、またそれぞれの年間変化量を調べることで、各個人の成長スパートが開始される時期を捉えます。これにより顎骨の成長時期を考慮した治療の内容を検討することができるのです。 その他、成長予測には手のひらをレントゲン撮影し手根骨をみる方法もありますが、当院ではX線被爆量を少しでも減らしたいため、あまり行いません。